眼瞼下垂症手術
眼瞼下垂は、上まぶたが下がって目が開けにくくなる状態で、見えにくさや疲れやすさの原因になることがあります。当院では、下垂の程度を示すMRD-1と、まぶたを上げる力をみる挙筋機能を確認し、原因やタイプに合わせて治療方針を決定します。
治療は手術が中心で、状態に応じて皮膚切除(必要に応じて重瞼形成を併用)、挙筋前転(挙筋短縮)、前頭筋吊り上げなどの術式から適した方法を選択します。

眼瞼下垂とは
眼瞼下垂は、上まぶたが下がって目が開けにくくなる状態です。視界が狭く感じるほか、眉を上げて見ようとする負担から、頭痛・肩こりを感じることがあります。
また、皮膚のたるみ(余剰皮膚)が強く、下垂のように見える 偽眼瞼下垂(上眼瞼皮膚弛緩症) もあります。治療の選択に関わるため、診察で見極めます。
原因(後天性で多いもの)
眼瞼下垂にはさまざまな原因があります。
後天性では、以下の要因が関係することがあります。
- 退行性(加齢性)
- 開瞼器を使用する手術後
- ハードコンタクトレンズの
長期使用 - 緑内障点眼薬の長期使用
(プロスタノイド点眼薬の長期使用後など) - 動眼神経麻痺
- Horner症候群
- 重症筋無力症
- 慢性進行性外眼筋麻痺
- 外傷後
- ボツリヌス毒素注入後
※原因が違うと治療の考え方も変わるため、問診・診察で丁寧に評価します。
こんな症状は
ご相談ください
まぶたが下がって見えにくい/視界が狭い
目を開けるのに力が必要、
夕方に疲れる
眉を上げるクセがあり、
額が疲れる(頭痛・肩こり)
左右差が気になる
皮膚のたるみがかぶさって、まつ毛の生え際が隠れやすい
検査・診断
診察では、まぶたの位置・左右差・皮膚のたるみ・眉の上がり方などを確認します。
そのうえで、以下を指標として評価します。
下垂の程度:MRD-1
MRD-1(エムアールディーワン)は、黒目の中心(光が映る点)から上まぶたの縁までの距離を測り、まぶたがどれくらい下がっているかを数値で確認する指標です。数字が小さいほど黒目にかぶさる量が多く、見えにくさ(視界の狭さ)に影響している可能性があります。
MRD-1の目安
右にスクロールできます

| MRD-1 | 目安 |
|---|---|
| 正常 | 2.7mm以上 |
| 軽度 | 1.5〜2.7mm |
| 中度 | -0.5〜1.5mm |
| 重度 | -0.5mm以下 |
※左右差も重要で、1mm以上の左右差がある場合は、MRD-1が正常範囲でも相対的な手術適応と考えることがあります。
まぶたを上げる力:
挙筋機能
下方視から上方視へ動かしたときの上まぶたのふちの移動距離で評価します。
挙筋機能の目安
| 挙筋機能 | 目安 |
|---|---|
| 8mm以上 | Good |
| 4〜7mm | Moderate |
| 3mm以下 | Poor |
手術方法
皮膚切除術
(眉毛下/まぶたのふち付近)・重瞼形成術
余剰皮膚がまぶたのふちにかぶさる 偽眼瞼下垂(上眼瞼皮膚弛緩症) では、眉毛下またはまぶたのふち付近(睫毛上)での皮膚切除が適応となります。
また、重瞼(二重)を作成することで余剰皮膚のかぶさりを防ぐことができ、単独または皮膚切除と併せて施行します。
・皮膚切除術(眉毛下/まぶたのふち付近)・重瞼形成術
同時に重瞼形成がしやすく、傷が目立ちにくい利点があります。
・瞼縁付近(睫毛上)の皮膚切除
同時に重瞼形成がしやすく、傷が目立ちにくい利点があります。
挙筋前転術
(挙筋短縮術)
上眼瞼挙筋の瞼板への付着部の強化・修復を行う手術です。
付着部は 上眼瞼挙筋腱膜とMüller筋(ミュラー筋)の2層に分かれており、状態に応じて 同時または別々に剥離して短縮・固定します。アプローチは皮膚切開と結膜側(まぶたを反転)があります。
前頭筋吊り上げ術
挙筋機能が低下している場合などに適応となります。
眉毛の裏側の部分と、瞼縁の瞼板部分を吊り上げ材でつなぐことで、前頭筋の収縮に連動してまぶたが開くようにします。吊り上げ材には、ゴアテックスシート、ナイロンなどの糸、自家組織(筋膜・腱)などを用いることがあります。
術後の経過・注意点
術後の処置・お薬
- 皮膚切開/切除/縫合を伴う場合:術後1〜2週間後に抜糸を行います。抜糸までの間は、乾燥を防ぐ目的で 抗生剤の眼軟膏を1日5回程度塗布します。
- 結膜側からアプローチした手術:抗菌薬+低用量ステロイド点眼を1週間程度使用する場合があります。
- 痛みがある場合:必要に応じてアセトアミノフェンやNSAIDsを用います。
日常生活の注意点
術後:当日
- 術後は創部を保護し、圧迫・冷却を行います。
- 術直後はガーゼで視界が制限されることがあるため、当日の車の運転は控えていただくことが望ましいです。
術後:2日間
まぶたの創部(手術部位)の圧迫・冷却を推奨します。飲酒/入浴/運動など血流が増える行為は極力控えます。
術後:3日目以降
徐々に制限を解除していきます。
抜糸後
原則、日常生活を大きく制限する必要はないと考えられます。
術後に起こりうること・
他科連携
目の乾き・かすみ
術後に目が大きく開くことで涙が蒸発しやすくなり、しばらく乾きやすいことがあります。
角膜表面の変化により「かすみ」などの不調を感じる場合もありますが、多くは術後3か月〜半年程度で改善するとされています。
左右差・反対側の下がり
(ヘリングの法則)
片側のみ手術を行った場合、反対側のまぶたが下がることがあります(ヘリングの法則)。
左右差のある両側下垂では、重い側のみの手術希望がある場合でも、反対側の下垂や両側同時手術の選択肢を事前にご説明します。
追加の皮膚切除が必要に
なること
手術後に目が開き、眉の挙上がなくなることで、余剰皮膚が術前の想定以上にかぶさり、追加の皮膚切除が必要になることがあります。
他科での評価が必要なケース
急にまぶたが下がってきた場合などは、原因の鑑別のため 神経内科/脳神経外科で検査が必要となることがあります。
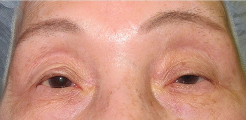
手術例(症例)
手術例①

術前

術後
手術例②

術前

術後
手術例③

術前

術後

術後3ヶ月
FAQ
よくあるご質問
Q
どの手術になるかは選べますか?
+A
原因・タイプ・挙筋機能などを評価したうえで、適した術式をご提案します。
Q
片側だけ直したいのですが?
+A
片側手術後に反対側が下がること(ヘリングの法則)があります。左右差やご希望を踏まえ、両側同時手術も含めてご相談します。
Q
乾きやすくなりますか?
+A
しばらく乾きやすくなることがありますが、多くは術後3か月〜半年程度で改善するとされています。
